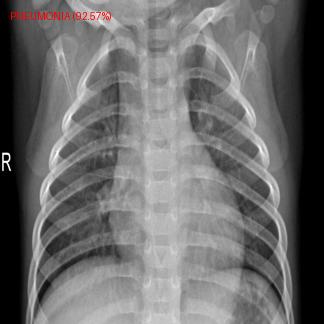
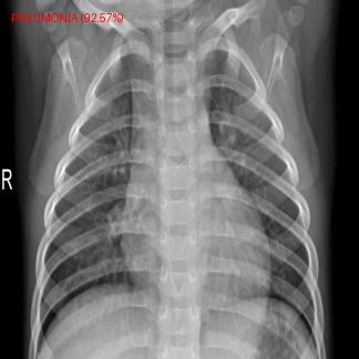
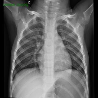
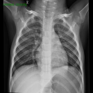
This project uses the DenseNet121 model to detect pneumonia in chest X-ray images. The model is trained on a dataset with train, validation, and test splits from kaggle and demonstrates the use of transfer learning and data augmentation in PyTorch.
The dataset is structured as follows:
dataset/
├── train/
│ ├── NORMAL/
│ └── PNEUMONIA/
├── val/
│ ├── NORMAL/
│ └── PNEUMONIA/
└── test/
├── NORMAL/
└── PNEUMONIA/
Each folder contains JPEG images of chest X-rays.
You can download a similar dataset from Kaggle Chest X-Ray Images
The model uses DenseNet121, a pre-trained model available in torchvision.models. Its final layer is replaced with a fully connected layer for binary classification.
model = models.densenet121(pretrained=True) num_features = model.classifier.in_features model.classifier = nn.Linear(num_features, 2) # Binary classification (NORMAL vs PNEUMONIA)
Here is the Python implementation of the project:
from torchvision import datasets, transforms from torch.utils.data import DataLoader train_dir = "/training_dataset" val_dir = "/val_dataset" test_dir = "/test_dataset" # Image transformation data_transforms = { 'train': transforms.Compose([ transforms.Resize((224, 224)), transforms.RandomHorizontalFlip(), transforms.ToTensor(), transforms.Normalize([0.485, 0.456, 0.406], [0.229, 0.224, 0.225]) ]), 'val': transforms.Compose([...]), 'test': transforms.Compose([...]), } # datasets datasets_dict = { 'train': datasets.ImageFolder(train_dir, transform=data_transforms['train']), 'val': datasets.ImageFolder(val_dir, transform=data_transforms['val']), 'test': datasets.ImageFolder(test_dir, transform=data_transforms['test']), } # dataloaders dataloaders = { 'train': DataLoader(datasets_dict['train'], batch_size=32, shuffle=True), 'val': DataLoader(datasets_dict['val'], batch_size=32, shuffle=False), 'test': DataLoader(datasets_dict['test'], batch_size=32, shuffle=False), }
import time from tqdm import tqdm def train_model(model, dataloaders, criterion, optimizer, num_epochs=5): for epoch in range(num_epochs): print(f"Epoch {epoch + 1}/{num_epochs}") for phase in ['train', 'val']: model.train() if phase == 'train' else model.eval() running_loss = 0.0 running_corrects = 0 total_samples = 0 with tqdm(dataloaders[phase], unit="batch") as tepoch: for inputs, labels in tepoch: tepoch.set_postfix(loss=..., accuracy=...)
Run the training script to train the DenseNet121 model for 5 epochs:
python main.py
During training, the script displays a progress bar and updates metrics like loss and accuracy.
The test dataset is used to evaluate the trained model:
def evaluate_model(model, dataloader): model.eval() with torch.no_grad(): for inputs, labels in dataloader: inputs, labels = inputs.to(device), labels.to(device) outputs = model(inputs) _, preds = torch.max(outputs, 1) running_corrects += torch.sum(preds == labels.data) total_samples += labels.size(0) accuracy = running_corrects.double() / total_samples print(f"Test Accuracy: {accuracy:.4f}")

